Sngine-YND Sngine-YND
Rezultatele cautarii
Vedeti tot
  • Conecteaza-te
    Conecteaza-te
    Inscrie-te
    Căutare
    Theme Switcher
    Night Mode

Director

Elevate your Sngine platform to new levels with plugins from YubNub Digital Media!

  • Utilizatori
  • Postari
  • Pagini
  • Blogs
  • Forums
  • PFP Test - YubNub News A distribuit un link
    2025-11-13 17:00:08
    YUBNUB.NEWS
    ICE Chief: Duckworth Staffer Posed as Attorney to Spring Illegal Alien From Custody
    Fox News/XTammy Duckworth .ta-paywall-container {position: relative;display: flex;flex-direction: column; min-height:60px;} #ta-paywall-overlay {position: absolute;top: 0;left: 0;right: 0;bottom: 0;display:
    0 Commentarii 0 Distribuiri 0 Views
    Vă rugăm să vă autentificați pentru a vă dori, partaja și comenta!
  • PFP test - Science A distribuit un link
    2025-11-13 17:00:09
    WWW.LIVESCIENCE.COM
    2 million black 'streaks' on Mars finally have an explanation, solving 50-year mystery
    A new analysis of data from NASA's Mars Reconnaissance Orbiter reveals that the majority of the Red Planet's dark "slope streaks" did not form as most researchers previously assumed.
    0 Commentarii 0 Distribuiri 2 Views
    Vă rugăm să vă autentificați pentru a vă dori, partaja și comenta!
  • PFP test - Science A distribuit un link
    2025-11-13 17:00:09
    WWW.LIVESCIENCE.COM
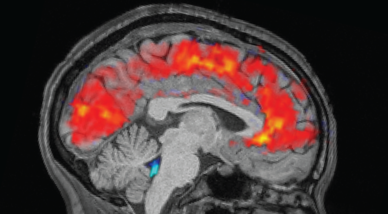
    Study reveals why the brain 'zones out' when you're exhausted
    Your sleep-deprived brain behaves as if you were about to nod off to sleep, even when you're awake.
    0 Commentarii 0 Distribuiri 2 Views
    Vă rugăm să vă autentificați pentru a vă dori, partaja și comenta!
  • Test Blogger4
    a adăugat un sunet Music
    2025-11-13 17:00:08
    Rob Zombie Will Play the World's Largest Biker Bar in 2026
    Rob Zombie Will Play the World's Largest Biker Bar in 2026Steve Jennings, WireImage/Getty ImagesFull Throttle Saloon is celebrated as the world's largest biker bar — and in 2026, Rob Zombie will be taking the stage to help celebrate the 86th Sturgis Motorcycle Rally in South Dakota on Aug. 12.Tickets are on sale now at this location. In addition to tickets for the show, packages at...
    0 Commentarii 0 Distribuiri 1 Views
    Vă rugăm să vă autentificați pentru a vă dori, partaja și comenta!
  • Test Blogger4
    a adăugat un sunet Music
    2025-11-13 17:00:08
    Toni Cornell Reflects on Soundgarden’s Rock Hall Induction
    'I Know How Proud He Is' - Chris Cornell's Daughter Toni Reflects on Soundgarden's Rock Hall InductionTheo Wargo, Getty Images / Buda Mendes, Getty ImagesChris Cornell's youngest daughter Toni Cornell reflected on taking part in Soundgarden's Rock and Roll Hall of Fame induction in a new post on social media.Soundgarden were inducted into the Hall this past weekend (Nov. 8). Kim Thayil,...
    0 Commentarii 0 Distribuiri 2 Views
    Vă rugăm să vă autentificați pentru a vă dori, partaja și comenta!
  • Test Blogger4
    a adăugat un sunet Music
    2025-11-13 17:00:09
    The Best Cover Song By 11 Big Thrash Metal Bands
    The Best Cover Song By 11 Big Thrash Metal BandsThere is no exact recipe when it comes to the best thrash metal cover songs.Some bands liksuch ase Metallica and Megadeth have chosen the more serious route when recording cover songs over the years. Metallica have a whole trove of metal covers, including an entire album, 1988's Garage Inc., to choose from for this list.READ MORE: Best Cover...
    0 Commentarii 0 Distribuiri 0 Views
    Vă rugăm să vă autentificați pentru a vă dori, partaja și comenta!
  • PFP test - Science A distribuit un link
    2025-11-13 17:00:18
    WWW.IFLSCIENCE.COM
    "The Universe Will Just Get Colder And Deader From Now On" Major Euclid Survey Of The Cosmos Shows
    Sit down, universe, we have some bad news.
    0 Commentarii 0 Distribuiri 2 Views
    Vă rugăm să vă autentificați pentru a vă dori, partaja și comenta!
  • PFP test - Science A distribuit un link
    2025-11-13 17:00:18
    WWW.IFLSCIENCE.COM
    Antiperspirant Before Bed, Or In The Morning? There Is A Right Answer
    Poorly timed antiperspirant application? Its the pits.
    0 Commentarii 0 Distribuiri 2 Views
    Vă rugăm să vă autentificați pentru a vă dori, partaja și comenta!
  • PFP test - Science A distribuit un link
    2025-11-13 17:00:18
    WWW.IFLSCIENCE.COM
    "Non-Gravitational Acceleration" Of Interstellar Object 3I/ATLAS Explained In New Study
    The comet has been observed to undergo non-gravitational acceleration. A new paper proposes a plausible explanation.
    0 Commentarii 0 Distribuiri 2 Views
    Vă rugăm să vă autentificați pentru a vă dori, partaja și comenta!
  • PFP test - Science A distribuit un link
    2025-11-13 17:00:18
    WWW.IFLSCIENCE.COM
    Spiders Make Scarecrows Of Bigger Spiders Out Of Silk And Debris To Ward Off Predators
    Clever girl.
    0 Commentarii 0 Distribuiri 2 Views
    Vă rugăm să vă autentificați pentru a vă dori, partaja și comenta!
  • Afiseaza (76671-76680 de 76794)
  • «
  • Anterior
  • 7666
  • 7667
  • 7668
  • 7669
  • 7670
  • Următor
  • »
© 2025 Sngine-YND Romaian
English Arabic French Spanish Portuguese Deutsch Turkish Dutch Italiano Russian Romaian Portuguese (Brazil) Greek
About Termeni Confidențialitate Contacteaza-ne Director